Menu
New Patients
(845) 241-0656
Current Patients
(845) 364-0400
Schedule Appointment
Leave a Review
New Patients Call
(845) 241-0656
About Our Office
Areas We Serve
Meet Dr. Auster
Meet Dr. Tang
Meet Dr. Tosyali
Our Technology
Video Testimonials
Testimonials
Giving Back
Dental Services
Cosmetic Dentistry
Invisalign
Porcelain Veneers
Tooth Whitening
Tooth Bonding
General Dentistry
Family Dentistry
Tooth Extraction
Emergency Dentistry
Laser Dentistry
Mouthguards
Restorative Dentistry
Dentures & Partials
All On Four Implants
Dental Bridges
Dental Crowns
Periodontal Therapy
TMJ Treatment
Implant Dentistry
What are Dental Implants
Dental Implants FAQs
Benefits of Dental Implants
Dental Implants vs Dentures
Dental Implant Process
Single Dental Implants
Multiple Dental Implants
Dental Concerns
Bleeding Gums
Crooked Teeth
Missing Teeth
Sleep Apnea
Teeth Grinding
For Patients
Payment & Insurance
Dental Savings Plan
Patient Forms
Patient Education
Post-Op Instructions
Leave a Review
Smile Gallery
Seminars
Blog
Rockland County NY Dentist
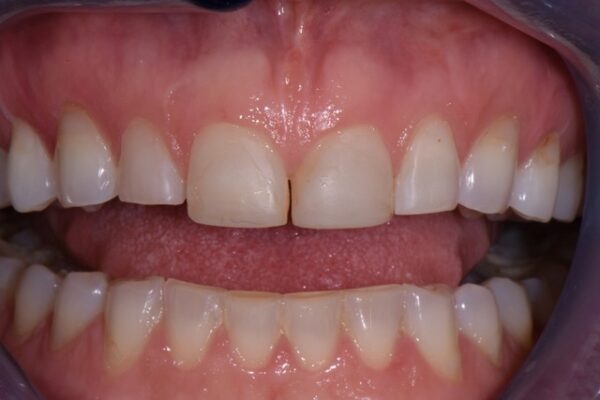
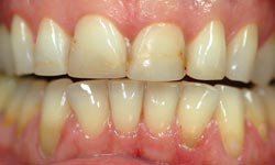
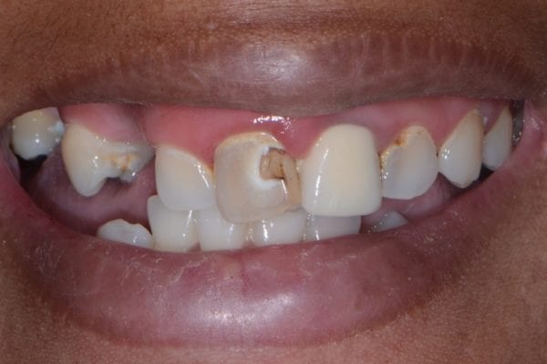
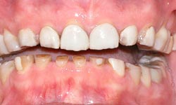
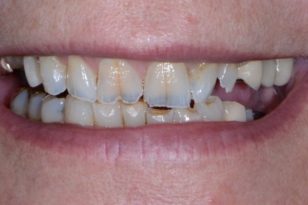
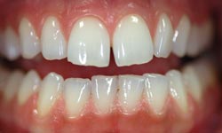
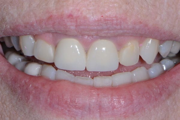
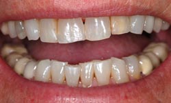
Smile Gallery
All
porcelain veneers
dental implants
tooth bonding
smile makeover
teeth whitening
dental crowns